Dr. James Sampson, Birmingham, AL
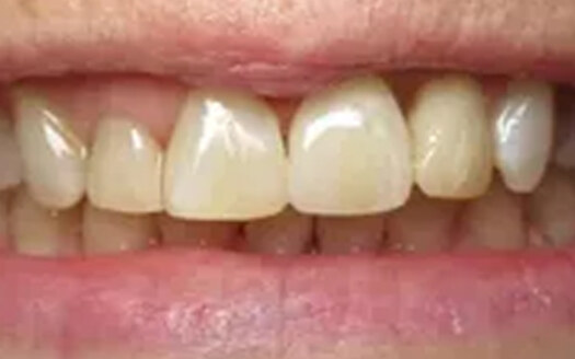
Custom Abutment and shading on #9
Read more about our Custom Abutments.
[…]
Dr. Celin Arce, DDS , Birmingham, AL
Mandibular SELECT Element-Z Screw-Retained Hybrid with Multi-layered […]
Dr. Jonathan Echols, DMD, Cullman, AL
IPS e.max Select Crowns 5-12, 21-28
Read more about our IPS e […]
